Catraca Livre

    Navegação Rápida
  • Gira
  • Receitas
  • Anuncie
Menu Principal
  • Receitas
  • Gira
  • Vídeos
  • Web Stories
  • Variedades
Nossas Redes Sociais
  • Facebook
  • Bsky
  • X
  • Instagram
  • Youtube
  • Pinterest
  • Tiktok
  • Linkedin
  • Whatsapp
Editoriais
As melhores soluções sustentáveis
Bem-Estar
Carreira
Catraquinha
Causando
Cidadania
Criatividade
Economize
Educação
Entretenimento
Estilo
Gastronomia
Grana
Jogos
Lume
Nós
Notícias
Projetos
Quem Inova
Variedades
Viagem
VilaMundo
Informações Adicionais
Anuncie
Fale Conosco
Quem somos
Política de privacidade
Equipe

© Copyright 2011-2026 Catraca Livre Portal e Comunicacao LTDA

CNPJ: 14.702.358/0001-70

Erika Vieira
Erika Vieira

Cofundadora e Editora Geral da Catraca Livre. Jornalista há 20 anos e graduada em educação pela USP, atua em difundir a educação por meio de notícias diárias que agreguem serviços de utilidade na vida de cada leitor.

Chulé: 9 dicas para acabar com esse problema
Chulé: 9 dicas para acabar com esse problema
Como que censores brasileiros classificariam o ‘Queer’
Como que censores brasileiros classificariam o ‘Queer’
Internet pede Fernanda Souza como júri fixa na Dança dos Famosos
Internet pede Fernanda Souza como júri fixa na Dança dos Famosos
Mariana Xavier explica porquê se decepcionou com Carolina Kasting
Mariana Xavier explica porquê se decepcionou com Carolina Kasting
Teste mostra quando o corrimento vaginal indica um problema
Teste mostra quando o corrimento vaginal indica um problema
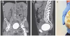
Quase igual a um ovo de avestruz, pedra é retirada de bexiga
Quase igual a um ovo de avestruz, pedra é retirada de bexiga
Saiba sobre os estágios da ingestão de álcool no corpo
Saiba sobre os estágios da ingestão de álcool no corpo
‘Pasta de dente’ inusitada dá o que falar no Altas Horas
‘Pasta de dente’ inusitada dá o que falar no Altas Horas
Foto: (Getty Images/iStockphoto)
9 comportamentos estranhos de um gênio. Você se identifica?
Ivete dá show de respeito às pessoas trans, durante o Altas Horas
Ivete dá show de respeito às pessoas trans, durante o Altas Horas
Pablo, desmontada, explica o motivo de não feito dueto com Sandy
Pablo, desmontada, explica o motivo de não feito dueto com Sandy
Rafael Cortez tenta roubar cena, mas Fernanda Lima dá um cortão
Rafael Cortez tenta roubar cena, mas Fernanda Lima dá um cortão
Próxima página »

Opa! Chegamos aos últimos conteúdos! Não há mais conteúdos para carregar

Ops! Não encontramos nenhum conteúdo! Erro ao carregar mais conteúdos. Por favor, tente novamente.

Catraca Livre
  • Receitas
  • Gira
  • Vídeos
  • Web Stories
  • Variedades
Editoriais
As melhores soluções sustentáveis
Bem-Estar
Carreira
Catraquinha
Causando
Cidadania
Criatividade
Economize
Educação
Entretenimento
Estilo
Gastronomia
Grana
Jogos
Lume
Nós
Notícias
Projetos
Quem Inova
Variedades
Viagem
VilaMundo
Informações Adicionais
Anuncie
Fale Conosco
Quem somos
Política de privacidade
Equipe

Nossas redes

Nossas Redes Sociais
  • Facebook
  • Bsky
  • X
  • Instagram
  • Youtube
  • Pinterest
  • Tiktok
  • Linkedin
  • Whatsapp

© Copyright 2011-2026 Catraca Livre Portal e Comunicacao LTDA

CNPJ: 14.702.358/0001-70

Política de Privacidade e Cookies

Utilizamos cookies essenciais de acordo com a nossa Política de Privacidade e, ao continuar navegando, você concorda com estas condições: