Imagens em raio-x mostram as consequências do uso da tecnologia para o corpo

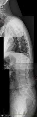
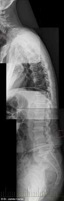
As imagens de raio-x abaixo mostram os malefícios do uso excessivo de smartphones e tablets para o corpo de adolescentes e crianças. Espinhas dorsais completamente curvadas que resultam em problemas graves de coluna e para o pescoço é a principal consequência da tecnologia para a saúde da nova geração.

Em entrevista ao jornal britânico ‘The Daily Mail’, o médico ortopedista australiano James Carter disse ter observado em seus pacientes condições que variam desde a ansiedade e depressão pelo uso das tecnologias, até lesões gravíssimas na espinha dorsal.

Ele afirmou que um número alarmante de pacientes com estas condições aumentaram 50% desde o ano passado e a maioria dos diagnosticados são estudantes e adolescentes. “Há dois anos eu atendo pacientes que sofrem pela consequência da tecnologia no corpo, especialmente em jovens estudantes e adolescentes”, disse.

17 anos, 16 anos e 7 anos
17 anos, 16 anos e 7 anos - Dr. James Carter

A condição, chamada de ‘text neck’ (‘Pescoço de mensagem’, em português), é observada em pessoas que sentam com suas cabeças a frente do corpo para interagirem com os seus smartphones ou tablets durante algumas horas.

Em geral, o peso da cabeça humana varia entre 4,5 kg e 55, kg, e a projeção do pescoço para frente faz com que o peso seja mais difícil de suportar, o que aumenta a probabilidade do surgimento de dores musculares e o encurvamento da espinha dorsal.