O que uma dose de álcool por dia pode fazer com seu cérebro jovem
Inteligência artificial revela que o álcool pode fazer seu cérebro parecer anos mais velho, mesmo em adultos jovens

Mesmo em pequenas quantidades, o álcool pode ter efeitos profundos e prematuros no cérebro. Um novo estudo, conduzido por pesquisadores da Universidade da Carolina do Norte e publicado na revista Alcohol: Clinical and Experimental Research, aponta que o consumo regular da substância — ainda que leve ou moderado — acelera o envelhecimento cerebral e prejudica a flexibilidade cognitiva, inclusive entre adultos jovens, entre 20 e 30 anos.
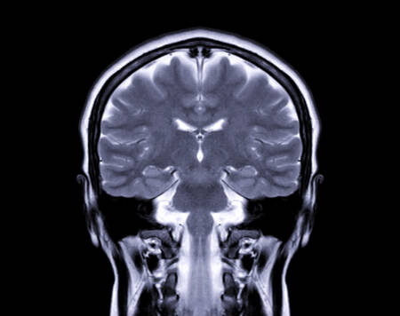
Combinando ressonância magnética e inteligência artificial, os cientistas identificaram que o álcool pode antecipar danos neurais que normalmente só apareceriam décadas depois, levantando um sinal de alerta especialmente para jovens que iniciaram o hábito ainda na adolescência.

Inteligência artificial e exames revelam danos invisíveis
A pesquisa avaliou 58 adultos com idades entre 22 e 40 anos, a maioria com histórico de consumo alcoólico desde a juventude. Após responderem a questionários sobre hábitos de bebida, os participantes foram submetidos a testes de flexibilidade cognitiva e exames de ressonância magnética em 3D.
A partir das imagens cerebrais, algoritmos de machine learning calcularam a chamada Diferença de Idade Predita (DAP), uma métrica que estima o quanto o cérebro aparenta ser mais velho do que a idade real da pessoa. Quanto maior o consumo de álcool, maior foi a discrepância — ou seja, maior o envelhecimento cerebral.
Além disso, os cérebros com envelhecimento mais acelerado apresentaram maior incidência de erros de perseverança nos testes cognitivos, sinal claro de inflexibilidade mental — uma característica típica do envelhecimento e comum em quadros de comprometimento neurológico.
O impacto a longo prazo do envelhecimento cerebral precoce
A flexibilidade comportamental é uma habilidade vital para lidar com imprevistos, resolver problemas e adaptar decisões. Quando comprometida, essa capacidade pode resultar em padrões repetitivos e prejudiciais, como o uso continuado de álcool, mesmo diante de consequências negativas.
Embora o estudo não tenha mostrado uma ligação direta entre o consumo de álcool e os erros nos testes cognitivos, ele revelou que a aceleração do envelhecimento cerebral é um fator intermediário crítico. Isso sugere que mesmo doses moderadas de bebida alcoólica podem comprometer o cérebro em fases da vida antes consideradas seguras.
Para jovens adultos, o alerta é claro: os efeitos do álcool na saúde mental e neurológica podem surgir muito antes da velhice, impactando funções essenciais e aumentando a vulnerabilidade a transtornos futuros.
Excesso de Trabalho Pode Alterar o Cérebro, Alertam Cientistas
Estudo recente revela que jornadas excessivas afetam fisicamente o cérebro. Cientistas identificaram alterações em áreas ligadas à memória e emoções. O alerta reforça a importância do equilíbrio entre vida pessoal e profissional para preservar a saúde mental e o bem-estar cognitivo de trabalhadores em todo o mundo. Clique aqui para saber mais.